

我国一项研究用多层螺旋CT对40岁以上健康人群进行筛查发现,有肺内孤立小结节(小于1厘米)的人占3.13%,在这些人中,肺结节是恶性(即肺癌)的概率是5%。
这个数据一方面说明早筛的重要性,同时也提醒我们:



现代人肺结节多发的原因
长期受吸烟、油烟环境或者空气污染等影响,以及长期暴露在各种生物致病源下引起炎症感染等疾病都可能导致肺结节产生。


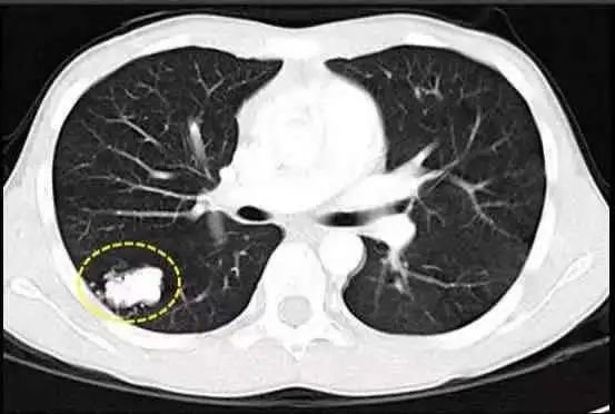
肺结节就是肺癌?
检查出肺结节怎么办?
很多人拿到诊断结果都很紧张,担心“是不是癌”。
只有不到10%可能转变成肺癌,但是因为正处于结节状态、发展缓慢,以目前的医疗水平下是可以治好的!
退一步讲,就算肺结节真的查出是肺癌,绝大多数也是早期肺癌,只要正确处理,几乎不会影响病人的正常寿命。
所以,发现结节以后真的不可怕!
良性的:
恶性的:

平时你或许有下面的症状
感冒咳嗽老不好?
胸闷气短,感觉气不够用?
经常性地咳痰甚至咳血?
……
这些可能都是身体发出的“求救信号”
都需要引起我们的重视!
早发现和晚发现 结果大不同!
日照医养医院通过与山东第一医科大学第二附属医院建立医疗联合体合作,定期邀请国内外知名专家坐诊,专家会针对个体症状进行细致分析,给出下一步的诊疗建议。
送上门的专家门诊
就在本周六(7月17日)!
此次日照医养医院特别邀请名医专家是
山东第一医科大学第二附属医院
呼吸与危重症医学科主任、内科主任
孟玲医生

凡是7月16日前预约
(网络预约、电话预约、公众号预约、前台预约)的患者
付9.9元抵100元专家挂号费
名额有限,抓紧约起!
专家简介:
从事临床医教研工作30年,擅长呼吸系统疑难危重疾病的诊治,特别是对慢性咳嗽、支气管哮喘、慢性阻塞性肺疾病、弥漫性肺实质疾病、肺癌等疾病的诊疗具有较高水平。
个人专业特色为呼吸慢病的管理,在省内较早引入了手持肺功能监测技术及患者信息管理系统并在泰安地区形成信息网络共享的鲜明专业特色。
在核心期刊以第一作者发表论文10余篇,其中被SCI收录3篇。




Copyright © 2020 All Rights Reserved 日照医养医院
医院地址:日照市东港区山东东路与威海路交叉路口北侧(气象局东邻)
总服务台电话:0633-7700777
鲁ICP备20013568号-1
广审批号:日医广字【2024】第0715-052号
鲁公网安备 37110202000337号
订阅号
服务号